아이 영구치가 없다고? 영구치 결손의 원인과 치료 방법 3가지
아이의 치아가 심상치 않아 지인에게 추천 받은 치과를 다녀왔습니다.
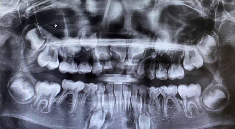
아이의 치아의 문제와는 별개로 충격적인 이야기를 듣게 되었습니다. 바로 아이의 영구치가 무려 5개나 없다는 이야기였죠.
혹시 부모님중에 영구치 손실이 있으셨던 분 계신지 물어보셨습니다. 그때 알았죠. 성인이 되어 치과를 갔을때, 치아가 많이 부족하다는 말씀이 영구치 결손이 있었다는 사실을요.
그냥 치아가 다른 사람에 비해 조금 부족하구나..생각을 했었는데 영구치가 아예 결손이었다는 사실에 얼마나 놀랬는지 모르겠습니다.
또, 그게 유전이라니…좀 슬펐습니다. “미안하다 아들아~”

아이 영구치가 없다고? 영구치 결손의 원인과 치료 방법
아이 치과 검진을 다녀왔다가 “영구치가 몇 개 없다”라는 말을 들으면 부모 마음이 철렁 내려앉습니다. 젖니는 언젠가 빠지고, 그 자리에 영구치가 올라와야 하는데 치아 씨앗이 아예 없는 경우가 있다는 사실이 낯설게 느껴지기 때문입니다. 오늘은 아이에게서 자주 발견되는 영구치 결손에 대해 자세히 알아보겠습니다.
영구치 결손이란 무엇일까?
영구치 결손은 태어날 때부터 치아 씨앗(치배)이 존재하지 않아 영구치가 나오지 않는 상태를 말합니다. 흔히 “선천적 무치(無齒)”라고도 부르며, 전체 아동의 약 5~10% 정도에서 발견되는 비교적 흔한 치과 문제입니다.
보통은 한두 개가 없는 경우가 많지만, 드물게 다섯 개 이상 결손되기도 합니다. 치과 검진에서 엑스레이로 확인하면 영구치 씨앗이 없는 걸 쉽게 알 수 있습니다.
주로 빠지는 부위
영구치 결손은 특정 위치에서 잘 나타나는 경향이 있습니다.
▪️위 앞니 옆(측절치)
▪️아래 작은 어금니(소구치)
이 부위에서 결손이 가장 많이 보고됩니다. 위아래 합쳐 여러 개가 없는 경우, 치열 전체 균형에도 큰 영향을 줍니다.
영구치 결손의 원인
1. 선천적 요인
대부분의 경우는 태어날 때부터 치아 씨앗이 아예 형성되지 않은 것입니다. 가족력과 관련이 있는 경우도 많습니다.
2. 드문 후천적 요인
외상이나 염증, 방사선 치료 등으로 치아 씨앗이 손상되어 발생하는 경우도 있습니다. 하지만 소아에서는 극히 드뭅니다.
영구치 결손이 아이에게 미치는 영향
▪️저작 기능 문제
빠진 치아가 많으면 음식 씹는 데 불편을 겪을 수 있습니다.
▪️교합(물림) 불균형
빈 공간 때문에 주변 치아가 기울거나 쓰러지면서 전체적인 교합이 틀어질 수 있습니다.
▪️턱뼈 발달 문제
성장기에 공간이 비면 턱뼈 성장에도 영향을 줄 수 있어, 외모와 치열 모두에 변화를 가져옵니다.
▪️심리적 영향
앞니처럼 눈에 띄는 부위가 결손된 경우, 아이가 웃거나 말할 때 자신감이 떨어질 수 있습니다.
치료 방법과 관리 방법
아이의 나이, 치아가 빠진 위치, 결손 개수에 따라 치료 계획은 달라집니다. 크게 세 가지 방향으로 나뉩니다.
1. 공간을 유지하고 나중에 보철
임플란트, 브리지 같은 인공 치아로 채우는 방법입니다. 다만 임플란트는 성장판이 닫히는 시기(고등학교 이후)에 가능하므로, 그 전까지는 임시 장치로 공간을 지켜야 합니다.
2. 공간을 닫아서 교정치료
교정 장치를 통해 주변 치아들을 이동시켜 빈 공간을 메우는 방법입니다. 경우에 따라 오히려 더 자연스러운 치열을 만들 수도 있습니다.
3. 혼합 방식
일부는 공간을 닫고, 일부는 보철로 대체하는 방법을 섞어 진행하기도 합니다.
부모가 꼭 알아야 할 점
▪️조기 발견이 중요합니다.
아이가 초등학교에 들어가는 시점부터 정기적인 치과 검진을 통해 영구치 상태를 확인하는 것이 좋습니다.
▪️성장 단계에 맞춘 관리가 필요합니다.
아직 어린 아이에게는 최종 치료를 바로 하지 않고, 성장에 맞춰 단계별로 계획을 세우는 것이 일반적입니다.
▪️전문의 상담이 필수입니다.
소아치과와 교정과를 함께 진료하면서 아이의 성장, 치열, 턱뼈 발달을 모두 고려한 치료 계획을 세우는 것이 가장 안전합니다.
마무리
영구치 결손은 놀랄 일 같지만 생각보다 흔히 발견되는 치과 문제입니다. 중요한 건 “빨리 발견하고, 아이의 성장 단계에 맞춰 관리해 나가는 것”입니다.
아이의 치아는 단순히 음식물을 씹는 기능뿐 아니라 발음, 얼굴 성장, 심리적 자신감에도 큰 영향을 주기 때문에 정기적인 치과 방문을 꼭 잊지 마시기 바랍니다.
유전적 요인이라는 말에 너무 죄책감 갖지 마시고, 여러가지 치료법과, 관리법을 확인하셔서 잘 활용해 보시기 바랍니다.